HP Patient

Levensverwachting van HP-patiënten met een fibroserend beeld ten opzichte van patiënten zonder fibrose4

Casus HP patient Robert

Robert is een 68-jarige bankier met longklachten.

Initiële evaluatie:

  • verslechtering dyspneu
  • onverklaarbaar gewichtsverlies
  • inspiratoire crepitaties hoorbaar bij auscultatie
  • schimmels in kelder geïdentificeerd als potentiële bron van blootstelling

Eerste onderzoeksresultaten:

  • BAL: lymfocyten >50%
  • longfunctietesten laten restrictie zien
  • precipitines tegen schimmels gedetecteerd

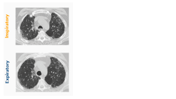
Een HRCT-scan bevestigt dat Robert longfibrose heeft:

  • mozaïekpatroon zichtbaar op inspiratoire beelden; bevestiging van air trapping op expiratoire beelden
  • reticulaties perifeer; geen ‘honeycombing’
  • matglas (niet bevestigd)
  • betrokkenheid bovenste en onderste longvelden
Een HRCT-scan bevestigt dat Robert longfibrose heeft:

Diagnose:

De diagnose chronische hypersensitiviteits pneumonitis (cHP) wordt gesteld, ook wel extrinsieke allergische alveolitis (EAA) genoemd.

Omdat Robert’s respiratoire symptomen achteruitgaan, is vervolgonderzoek nodig. Na drie maanden evalueert de longarts zijn ziektebeloop.

  • dyspneu is verslechterd ondanks het wegnemen van de trigger (blootstelling aan schimmel) en behandeling met prednison in de afgelopen drie maanden
  • longfunctietesten zijn achteruitgegaan sinds zijn diagnose.
Diagnose

Robert’s verslechtering van respiratoire symptomen kan duiden op progressie van de ziekte.

Wetenswaardigheden HP:

  • Chronische HP kan door veel verschillende antigenen veroorzaakt worden.2 Een grondige anamnese met aandacht voor huidige exposities en exposities in het verleden is daarom cruciaal om de diagnose tijdig te kunnen stellen.
  • Geschat wordt dat 21% van de patiënten met HP een progressieve vorm van longfibrose ontwikkelt.3
  • HP- patiënten met een fibroserend beeld hebben een kortere levensverwachting dan patiënten zonder fibrosevorming.4 (zie figurr )
  • Een achteruitgang in FVC predicted van 10% of meer na 6 tot 12 maanden is geassocieerd met een verhoogde mortaliteit.2
  • De mediane overleving van patiënten met cHP is 4 tot 9 jaar.2,5
Levensverwachting van HP-patiënten met een fibroserend beeld ten opzichte van patiënten zonder fibrose4

 

Levensverwachting van HP-patiënten met een fibroserend beeld ten opzichte van patiënten zonder fibrose4

Literatuurverwijzingen

  1. Cottin V, et al. Eur Respir Rev. 2018;27(150):180076.
  2. Gimenez A, et al. Thorax. 2018;73(4):391-2.
  3. Wijsenbeek M, et al. Curr Med Res Opin. 2019;35(11):2015-24.
  4. Vourlekis JS, et al. The American journal of medicine. 2004;116(10):662-8.
  5. De Sadeleer LJ, et al. J Clin Med. 2018;8(1):14.

PC-NL-105044