SSc-ILD Patient

Casus SSc-ILD patient Stephanie

Stephanie heeft systemische sclerose. Ze is een alleenstaande moeder van 43 jaar en werkt als accountant. Drie jaar geleden is ze gediagnosticeerd met gelimiteerde cutane systemische sclerose (lcSSc).

Diagnostische voorgeschiedenis

Presentatie van symptomen die tot de diagnose lcSSc hebben geleid:

  • lange voorgeschiedenis van fenomeen van Raynaud
  • huidverdikking van vingers en gezicht
  • calcinose
  • zweervorming vingers
  • gezwollen vingers

Drie jaar na haar diagnose, krijgt Stephanie nieuwe symptomen:

  • droge hoest
  • dyspneu bij inspanning (in afgelopen 5 maanden)
  • milde inspiratoire bibasilaire fijne crepitaties hoorbaar bij auscultatie

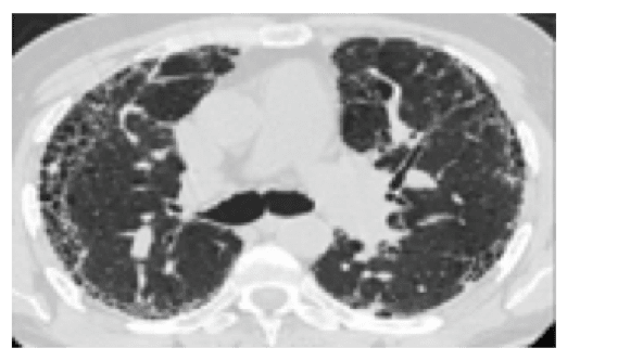
Op haar meest recente HRCT-scan zijn afwijkingen gevonden:

  • subpleurale sparing
  • bilateraal matglas met reticulaties
Diagnostische voorgeschiedenis

Diagnose

Deze kenmerken passen bij een radiologisch NSIP-patroon, wat vaak voorkomt bij patiënten met SSc-ILD.

Het is belangrijk om patiënten met systemische sclerose vroegtijdig en regelmatig te screenen op pulmonale afwijkingen, en te handelen via onderstaand schema.1

Schemaalgoritme voor management van SSc-ILD1

Schema/algoritme voor management van SSc-ILD1

Wetenswaardigheden SSc-ILD:

  • Het merendeel van de patiënten met SSc heeft pulmonale afwijkingen, waarbij ILD het vaakst voorkomt2; zo’n 30 tot 40% heeft een klinisch relevante ILD en tot 80% subklinisch.3
  • Naar schatting ontwikkelt ongeveer 25-30% van de patiënten met een SSc-ILD een progressieve vorm van longfibrose.4,5
  • Bij de diffuse vorm (dcSSc) komt longfibrose vaker voor en sneller tot uiting dan bij de gelimiteerde vorm (lcSSc).6
  • De mediane overleving van patiënten met SSc-ILD is 5 tot 8 jaar.7
Literatuurverwijzingen
  1. Hoffmann-Vold A-M, et al. The Lancet Rheumatology. 2020;2(2):e71-e83.
  2. Mira-Avendano I, et al. Mayo Clin Proc. 2019;94(2):309-25.
  3. Fischer A, et al. Arthritis Rheumatol. 2019;71(2):182-95.
  4. Wijsenbeek M, et al. Curr Med Res Opin. 2019;35(11):2015-24.
  5. Denton CP, et al. The Lancet. 2017;390(10103):1685-99.
  6. Nihtyanova SI, et al. Arthritis & rheumatology. 2014;66(6):1625-35.
  7. Yasuoka H. Clin Med Insights Circ Respir Pulm Med. 2015;9(Suppl 1):97-110.

PC-NL-105044