Hoe wordt de diagnose longfibrose gesteld?

Hoe wordt de diagnose longfibrose gesteld?

Toen Peter bij zijn eerste doktersbezoek vertelde dat hij kortademig was, dacht de huisarts in eerste instantie aan een hart- en vaatziekte of een chronisch obstructieve longziekte (COPD). Er bleek echter geen sprake van een hartprobleem te zijn en zijn bloeddruk was ook normaal.

Aangezien er aan COPD werd gedacht kreeg hij een tijdje pufjes. Omdat hiermee de klachten niet verminderden, werd hij verwezen naar een longarts. Na uitvoerig onderzoek werd de diagnose longfibrose gesteld. Soms kan het een tijdje duren voordat de diagnose longfibrose wordt gesteld aangezien de symptomen kunnen lijken op andere longziekten, waaronder COPD waar de huisarts in eerste instantie aan dacht. Er bestaat nog geen eenvoudige test om de diagnose longfibrose te stellen, maar de medische voorgeschiedenis van de patiënt, lichamelijk onderzoek en verschillende onderzoeken leiden uiteindelijk naar de juiste diagnose.

blz. 9@highres
         

Onderliggende oorzaken

Om de diagnose te kunnen stellen is het belangrijk te zoeken naar mogelijke onderliggende oorzaken. Er wordt bijvoorbeeld gekeken of er sprake is van bepaalde systeemziekten die de longen indirect kunnen aantasten (zoals reuma of sclerodermie), infecties, of blootstelling aan bepaalde stoffen zoals bestrijdingsmiddelen, asbest, etc. Tevens wordt er gekeken of er mogelijk een verband is met het gebruik van bepaalde geneesmiddelen.

Om vergelijkbare vormen van longfibrose, met een aanwijsbare oorzaak die lijken op IPF uit te sluiten, stelde de longarts Peter een aantal belangrijke vragen. Zo werd geïnformeerd naar mogelijke blootstelling aan stoffen op zijn werk of tijdens het beoefenen van een hobby, het voorkomen van vergelijkbare klachten in de familie, geneesmiddelen die hij gebruikt of gebruikt heeft in het verleden.

Krakend geluid

Bij het luisteren naar de longen met behulp van een stethoscoop hoorde de longarts een krakend geluid. Dat geluid lijkt op het uit elkaar trekken van klittenband of lopen in verse sneeuw. Dit is te horen bij meer dan 80% van alle patiënten met longfibrose. Hij constateerde ook dat Peters vingertoppen breder (trommelstokvinger) en ronder (horlogeglasnagels) waren geworden. Dat komt voor bij longaandoeningen waarbij sprake is van zuurstofgebrek.

Om de diagnose longfibrose te kunnen stellen, werden een aantal onderzoeken afgesproken. Longfunctie (blaas) testen kunnen een indruk geven over hoe de longen van Peter functioneren. Deze testen meten onder andere de capaciteit van de longen en hoe goed zuurstof kan worden opgenomen. Het percentage van de voorspelde normale waarde (bepaald door geslacht, lengte, leeftijd en ethniciteit) wordt gebruikt om de ernst van de afwijking aan te geven.

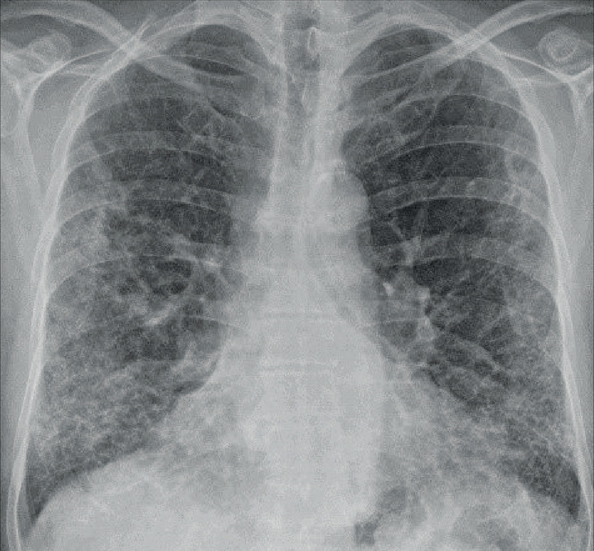
Op een röntgenfoto van de borstkas van Peter waren enkele afwijkingen in de longen te zien die kunnen passen bij bindweefselvorming in de longen.

HRCT-scan

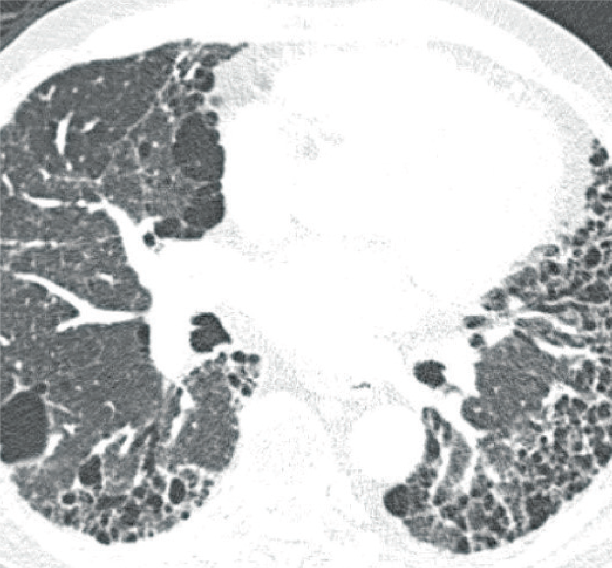
Een HRCT-scan maakt gebruik van röntgenstraling en een computer om zeer scherpe beelden van extra dunne doorsneden van de longen te kunnen maken. In tegenstelling tot de traditionele röntgenfoto van de borstkas, kunnen met behulp van een HRCT-scan vele kleine details in de longen zichtbaar worden gemaakt die behulpzaam kunnen zijn bij het stellen van de diagnose.

Bij het maken van een HRCT-scan is een team van specialisten betrokken, waaronder radiologen, verpleegkundigen en technici.

Een HRCT-scan is een grote tunnelvormige machine die aan de voor- en achterkant open is. Tijdens het scannen bevindt de patiënt zich op een beweegbare onderzoekstafel die langzaam voorwaarts en achterwaarts door de opening in het midden van de scanner beweegt.

Terwijl de onderzoekstafel door de opening glijdt, draait het röntgenapparaat rond het lichaam van de patiënt om een serie afbeeldingen te kunnen maken van de binnenkant van het lichaam.

Om scherpe beelden te krijgen, wordt de patiënt gevraagd om niet te bewegen en soms even de adem in te houden. De procedure duurt gemiddeld 15 tot 30 minuten en doet geen pijn.

Na het onderzoek worden de beelden beoordeeld door een gespecialiseerde radioloog en de longarts. Deze laatste bespreekt de resultaten vervolgens met de patiënt.

Artboard 29
                
Artboard 30
   

HRCT-scanner

 

HRCT-scan van de borstkas

   

Wat houdt een longbiopsie in?

Een longbiopsie is een chirurgische ingreep die wordt uitgevoerd door een thoraxchirurg en een chirurgisch team, waarbij een klein stukje longweefsel wordt weggenomen en onderzocht. De ingreep gebeurt onder algehele narcose. Via een kleine opening in de borstkas brengt de chirurg een buisvormig kijkinstrument met een miniatuur videocamera in. Hiermee kunnen de longen op een videomonitor bekeken worden.

Er wordt een klein stukje weefsel van de plek waar de long is aangetast weggenomen voor nader onderzoek. Vervolgens wordt deze plek zorgvuldig gehecht. Vervolgens wordt dit stukje longweefsel onmiddellijk naar de patholoog-anatoom gebracht. Deze bekijkt het longweefsel onder de microscoop. De bevindingen worden gerapporteerd aan de longarts en tijdens een multidisciplinair overleg (MDO) besproken. Na een dergelijke chirurgische ingreep is het gebruikelijk dat een patiënt enkele dagen in het ziekenhuis moet blijven om te herstellen.

Artboard 10

 

Diagnostische testen voor longfibrose

Röntgenfoto van de borstkas

Hierbij wordt een afbeelding van uw longen gemaakt. Verdichtingen kunnen wijzen op littekenvorming.

blz.11 -1@highres
 

 

HRCT

Een uitgebreide röntgenopname die een gedetailleerder beeld geeft dan een gewone röntgenfoto.

blz.11 -3@highres
 

Longfunctie testen

Longfunctietesten (bijv. spirometrie) meten de hoeveelheid lucht die u kunt uitademen na diep ingeademd te hebben.

blz.11 -2@highres
 

Pulse oximetrie

De pulse oximeter meet het zuurstofgehalte van uw bloed met behulp van licht (zuurstofrijk bloed absorbeert meer infrarood licht dan zuurstofarm bloed).

blz.11 -4@highres
 

Bloedgasanalyse

Hierbij wordt de hoeveelheid zuurstof en koolstofdioxide (koolzuurgas) gemeten die in het bloed van een slagader aanwezig is.

blz.11 -5@highres
 

Quantiferon test of Elispot

Bloedonderzoek om tuberculose uit te sluiten.

blz.11 -7@highres
 

Inspanningstest

Meet hoe goed de longen zuurstof in het bloed brengen en koolstofdioxide (koolzuurgas) uit het bloed halen tijdens inspanning.

blz.11 -6@highres
 

Longbiopsie

Een stukje longweefsel wordt weggenomen en onder de microscoop onderzocht.

blz.11 -8@highres

PC-NL-105044